標本の説明
標本5
標本5(102KB)
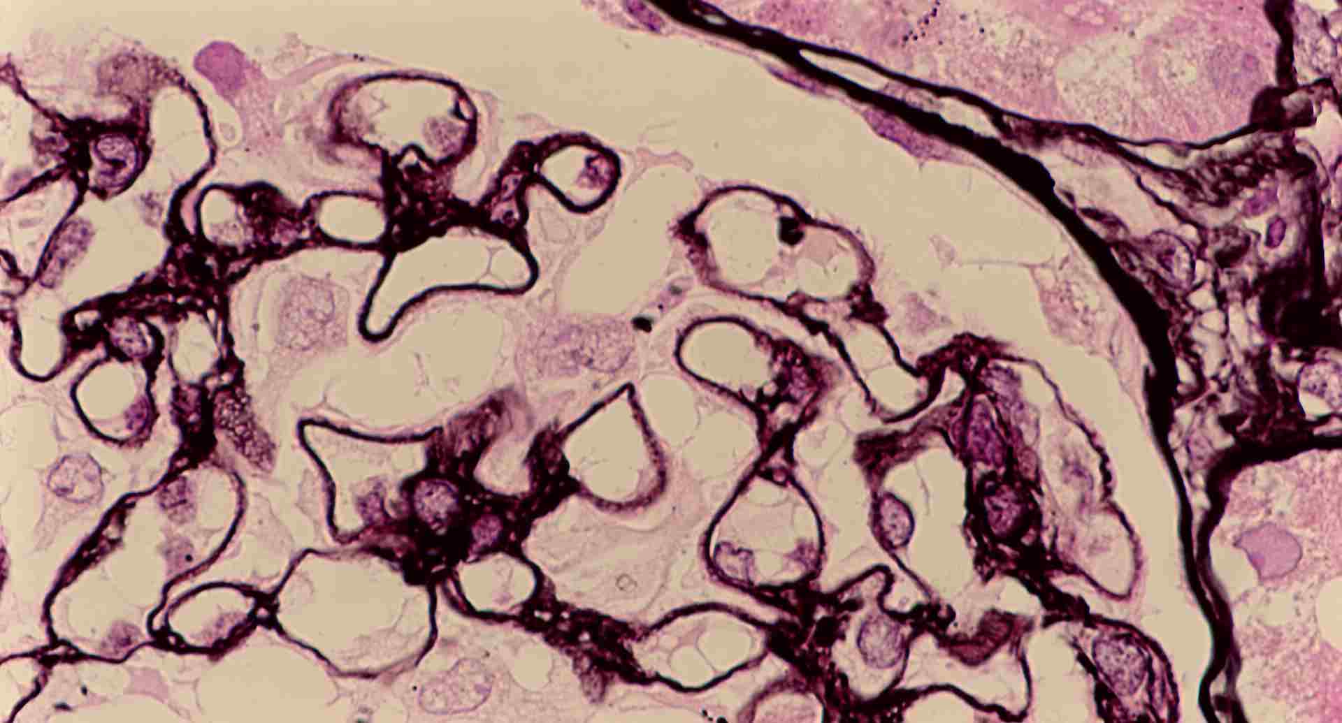
標本5の説明
見本
標本一覧に戻る